Arthrose de l'articulation du genou (gonarthrose) est une maladie chronique évolutive des articulations du genou avec lésions, amincissement et destruction de leur partie cartilagineuse (surfaces articulaires du fémur et du tibia) ainsi que des lésions de l'os sous-chondral. Des études (arthroscopie et IRM) ont montré qu'en plus des lésions du cartilage articulaire, les ménisques et la membrane synoviale sont également impliqués dans le processus. La gonarthrose est l'une des maladies orthopédiques les plus courantes. Il existe ses synonymes : arthrose (OA), arthrose déformante. La maladie représente un problème socio-économique important car elle est répandue et, en raison de la douleur constante, elle détériore considérablement la qualité de vie des patients et devient en outre une cause de niveaux élevés d'invalidité.

Jusqu’au milieu des années 1980, il n’existait pas de définition uniforme de la maladie. Ce n’est qu’en 1995 que le Comité d’arthrose de l’American College of Rheumatology a caractérisé la maladie comme le résultat de facteurs mécaniques et biologiques conduisant à un déséquilibre entre les processus de dégradation et de synthèse de la matrice extracellulaire du cartilage articulaire. En conséquence, une dégradation et une dégénérescence des fibres se produisent, des fissures, de l'ostéosclérose et un compactage de la couche corticale de l'os sous-chondral se produisent, des ostéophytes se développent et des kystes sous-chondraux se forment.
Pourquoi l'arthrose de l'articulation du genou apparaît-elle ?
Les facteurs de risque d’arthrose comprennent :
- traumatisme chronique (violation de l'activité physique, excès de poids);
- maladies endocriniennes, inflammatoires, métaboliques et ischémiques ;
- la présence de troubles congénitaux ou acquis des relations, de la forme ou de l'organisation structurelle des extrémités articulaires.
Si vous remarquez des symptômes similaires, contactez votre médecin. Ne vous soignez pas vous-même, c'est dangereux pour votre santé !
Symptômes de l'arthrose des articulations du genou
L'arthrose de l'articulation du genou se caractérise par :
- apparition progressive ;
- légère douleur dans l'articulation lors du mouvement, notamment lors de la montée et de la descente des escaliers ;
- Les « tiraillements », les raideurs et les « douleurs initiales », qui surviennent dès les premiers pas et s'atténuent ou disparaissent lorsque le patient « s'écarte », réapparaissent après une activité physique importante.
- L’aspect du genou reste le même. Parfois, il y a un léger gonflement ou une accumulation de liquide dans l’articulation. Dans le même temps, le genou augmente de volume, gonfle, s'aplatit et des restrictions de mouvements et des sensations de lourdeur se font sentir.
Sensations douloureuses
À mesure que la maladie progresse, la douleur devient plus intense et survient même avec peu d'effort et une longue marche. Localisé le long de la surface interne antérieure de l'articulation. Un repos prolongé aide généralement à soulager la douleur.
Mobilité limitée de l'articulation du genou et craquements caractéristiques
Avec l'arthrose, l'amplitude de mouvement des articulations peut diminuer, un resserrement peut survenir et une douleur lancinante peut survenir lorsque la jambe est fléchie au maximum.
Malformation du genou
La configuration de l’articulation change comme si elle s’agrandissait.
Synovite
La synovite de l'articulation du genou est une inflammation de la muqueuse interne de la cavité articulaire. La maladie se manifeste par un gonflement du genou, une rougeur de la peau et une mobilité limitée de l'articulation. Lorsque l’arthrose se développe, une synovite survient plus souvent, elle dure plus longtemps et implique beaucoup de liquide.
Le stade final de la gonarthrose se caractérise par le fait que la douleur devient presque constante et provoque de l'anxiété non seulement lors de la marche, mais aussi au repos et même la nuit, lorsque les patients doivent rechercher une position de sommeil confortable. Les mouvements sont plus limités : il est difficile de plier et de redresser complètement la jambe. L'articulation se déforme et augmente de volume. Une déformation en valgus (en forme de X) ou en varus (en forme de O) des jambes est souvent observée. La démarche devient instable et se dandine. Dans les cas graves, une canne ou des béquilles sont nécessaires.

Selon les chercheurs, 76 % des personnes âgées qui se plaignent de douleurs au genou présentent une gonarthrose à la radiographie. Selon les statistiques, les femmes après 45 ans sont plus souvent touchées par la maladie, qui s'accompagne de changements hormonaux.
Pathogenèse de l'arthrose des articulations du genou
Il existe des arthroses primaires et secondaires.
Arthrose primaire de l'articulation du genou
- Le cartilage articulaire est constamment détruit et renouvelé ; Normalement, ces processus sont équilibrés. À mesure que nous vieillissons, le renouvellement du cartilage ralentit et la destruction commence à prédominer, ce que l’on appelle le processus de dégradation ou de dégénérescence. Le poids d'une personne joue un rôle important, car avec une masse de 70 kg en 20 pas on porte 700 kg sur chaque jambe (70 kg x 10 pas), avec une masse de 120 kg on porte déjà 1200 kg sur chaque jambe. Par conséquent, un cartilage faible s’use beaucoup plus rapidement ;
- vous devez vous rappeler : l'articulation reçoit des nutriments et est restaurée pendant le mouvement ; Un mode de vie sédentaire réduit les processus métaboliques et les éléments nécessaires ne pénètrent pas dans le cartilage ;
- Il existe des preuves controversées sur le rôle héréditaire dans le développement de la maladie. Si les parents souffraient d'arthrose, la probabilité de son apparition chez les enfants augmente ;
- survient en raison d’une inflammation synoviale auto-immune.
Arthrose secondaire de l'articulation du genou
- Blessures (fractures, ménisque déchiré et ligament croisé antérieur). Malheureusement, ces blessures provoquent un stress excessif sur le cartilage chez chaque personne, quel que soit son âge. Une fracture d'une partie de l'os recouverte de cartilage s'accompagne de la formation d'une irrégularité - une « marche ». Dans cette zone, l'abrasion et l'arthrose surviennent avec le mouvement ;
- polyarthrite rhumatoïde, maladie de König (ostéochondrite disséquante), conséquences d'une inflammation purulente des articulations (gonite), etc.
- maladies vasculaires régionales;
- processus d'adhésion exsudatifs-prolifératifs et cicatriciels chroniques dans l'articulation.

Dans l'arthrose (arthrose), outre la destruction progressive du cartilage, la perte de son élasticité et de ses propriétés d'amortissement, les os sont également progressivement impliqués. Sous l'effet du stress, des arêtes vives (exostoses) apparaissent, qui sont considérées à tort comme des « dépôts de sel » – dans l'arthrose classique, il n'y a pas de dépôt de sel. Au fur et à mesure que l’arthrose progresse, elle continue de « manger » le cartilage. Ensuite, l’os se déforme, des kystes se forment, toutes les structures de l’articulation sont touchées et la jambe se plie.
Outre la partie interne ou externe du genou, l'arthrose peut également affecter les surfaces situées entre la rotule et le sillon intercondylien du fémur. Cette option est appelée Arthrose fémoro-patellaire.
La cause est généralement une subluxation, une fracture ou une latéralisation de la rotule.

Classification et stades de développement de l'arthrose des articulations du genou
Quelle que soit la cause, il existe trois stades de gonarthrose arthrose déformante de l'articulation du genou.
Gonarthrose, stade I
Le premier stade de la maladie est caractérisé par des modifications primaires du cartilage hyalin. Les structures osseuses ne sont pas affectées. L'apport sanguin dans les vaisseaux intra-osseux et les capillaires est perturbé. La surface du cartilage devient sèche et perd sa douceur. Si la maladie s'accompagne d'une synovite constamment tendue, un kyste de Baker (hernie bombée de la capsule articulaire de la région poplitée) se développe. Une douleur sourde survient après une forte tension sur l'articulation. Il peut y avoir un léger gonflement qui disparaît avec le repos. Il n'y a aucune déformation.
Gonarthrose, stade II
Au cours de la deuxième étape, la couche cartilagineuse devient considérablement plus fine et disparaît complètement à certains endroits. Des ostéophytes apparaissent sur les bords des surfaces articulaires. Les propriétés qualitatives et quantitatives du liquide synovial changent : il devient plus épais, plus visqueux, ce qui entraîne une détérioration de ses propriétés nutritionnelles et lubrifiantes. La douleur est plus longue et plus intense et un grincement se fait souvent entendre lors du mouvement. Il existe une restriction légère à modérée des mouvements et une légère déformation de l’articulation. Prendre des analgésiques aide à soulager la douleur.
Gonarthrose, stade III
Manque de cartilage dans la plupart des zones touchées, sclérose (durcissement) sévère de l'os, nombreux ostéophytes et rétrécissement ou absence sévère de l'espace articulaire. La douleur est quasi constante et la démarche est altérée. La mobilité est sévèrement restreinte et des déformations articulaires importantes se produisent. Les AINS, la physiothérapie et les autres méthodes standard de traitement de l'arthrose du genou sont inefficaces.
Types de gonarthrose
Selon le nombre d'articulations touchées, on distingue la gonarthrose unilatérale et bilatérale.
Complications de l'arthrose des articulations du genou
La complication la plus courante des stades II et III est la tendovaginite du groupe musculaire adducteur de la cuisse. Cela se manifeste par une douleur le long de la surface interne de l’articulation, qui augmente avec le mouvement. La cause en est un déséquilibre et une déformation des muscles. Une restriction à long terme de l’amplitude des mouvements entraîne une contracture. De plus, une synovite survient souvent.
Conséquences de la gonarthrose avancée
La gonarthrose affecte l'ensemble du système musculo-squelettique et perturbe la biomécanique de la colonne vertébrale et d'autres grosses articulations des membres inférieurs. Cela peut entraîner une hernie discale et de l’arthrite d’autres articulations. La deuxième articulation du genou est surchargée (si la maladie est unilatérale) car le patient protège la jambe douloureuse et transfère le poids sur l'autre jambe saine.
Diagnostic de l'arthrose des articulations du genou
Diagnostic instrumental de l'arthrose de l'articulation du genou
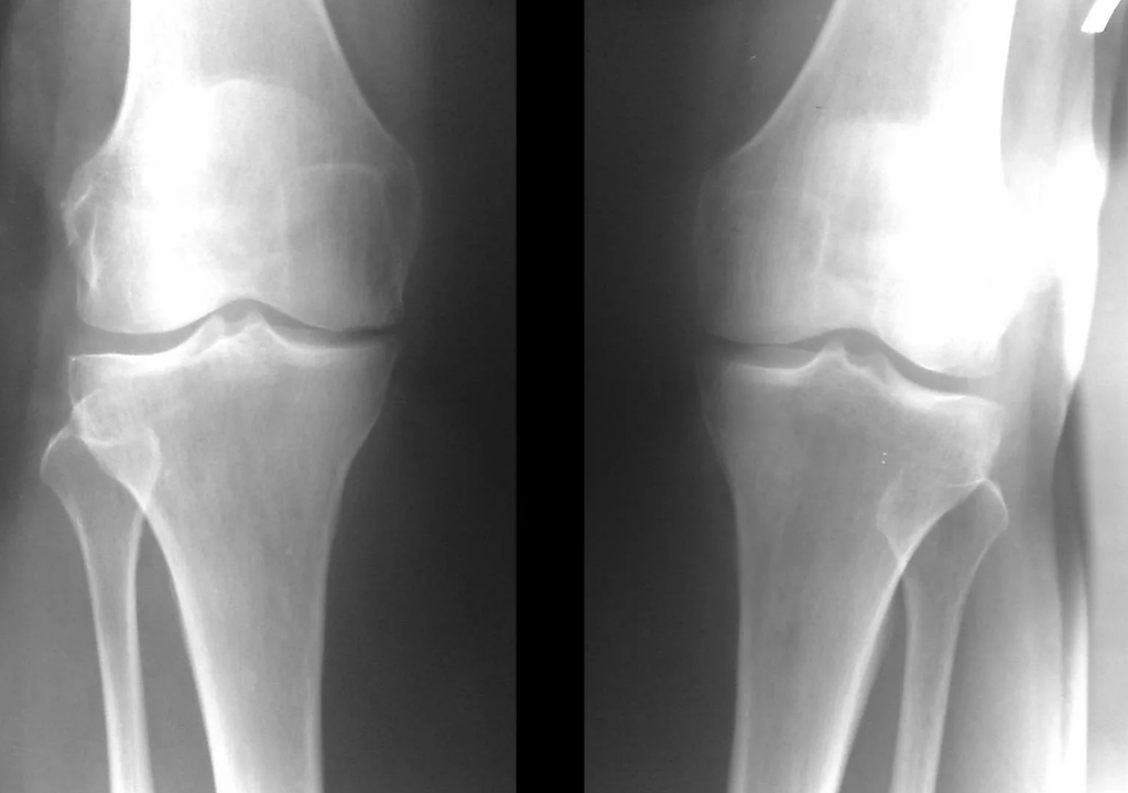
Dans la grande majorité des cas, un examen et une radiographie de l'articulation du genou en deux projections (directe et latérale) suffisent. Les données cliniques et les images permettent de déterminer le stade de la maladie.

Aux premiers stades de la maladie, avec des modifications mineures du tissu osseux, un examen aux rayons X n'est pas si utile. À ce stade, la gonarthrose peut être diagnostiquée par arthroscopie. La précision de la méthode est très élevée ; Seuls son caractère invasif et son prix peuvent l’arrêter.
L'échographie ne permet pas de visualiser clairement les modifications du cartilage articulaire et des structures intra-articulaires. L'IRM vous permet de détecter les modifications des structures osseuses, cartilagineuses et des tissus mous de l'articulation, ainsi que de l'os sous-chondral avec une précision de 85 %. La scintigraphie peut être utilisée pour évaluer l'activité métabolique du tissu osseux périarticulaire.
Diagnostic en laboratoire de l'arthrose de l'articulation du genou
Une teneur accrue en phosphore et en calcium dans le liquide synovial déshydraté est une indication de la destruction du tissu ostéochondral de l'articulation et de l'accumulation de produits de dégradation. Le sang est également examiné - analyse générale et vitesse de sédimentation des érythrocytes (ESR) ; Déterminez le fibrinogène, l'urée et d'autres paramètres biochimiques du sang et de l'urine.
Est-il possible de guérir complètement l’arthrose déformante de l’articulation du genou ?
La guérison complète de la gonarthrose n'est possible qu'aux premiers stades de la maladie.
Quel médecin traite l'arthrose déformante de l'articulation du genou ?
Un traumatologue, un orthopédiste ou un rhumatologue pose un diagnostic et prescrit un traitement.
Traitement de l'arthrose des articulations du genou
Conservateur — médicaments anti-inflammatoires, analgésiques, relaxants musculaires, vasculaires, chondroprotecteurs, compresses, kinésiotaping, physiothérapie, physiothérapie, orthèses.
Peu invasif- blocs paraarticulaires (Novocaïne + médicaments soulagent la douleur et l'inflammation), injection de lubrifiant artificiel dans l'articulation elle-même, lifting plasma.
Chirurgical — Arthroscopie (méthode peu traumatisante de traitement des pathologies intra-articulaires et d'élimination des structures endommagées), endoprothèses.
Traitement médicamenteux (médicaments utilisés pour traiter l'arthrose de l'articulation du genou)
Les méthodes conservatrices sont plus efficaces aux premiers stades de la maladie. Ils aident à soulager la douleur et à ralentir temporairement la destruction du cartilage. Au stade II, des méthodes plus efficaces sont nécessaires. L'introduction de préparations d'acide hyaluronique dans la cavité articulaire sert à réduire les frictions et les traumatismes du cartilage. Il n’existe aucune preuve claire de la restauration du cartilage, mais cela fonctionne bien pour lubrifier les surfaces. La « thérapie PRP » (plasmolifting) consiste à injecter dans l’articulation du genou du plasma riche en plaquettes, obtenu à partir du sang du patient par centrifugation. Il nourrit le cartilage et favorise sa réparation, puisque les plaquettes de l'autoplasme contiennent de nombreux facteurs de croissance et cytokines qui favorisent la régénération des tissus endommagés.
Traitement chirurgical et endoprothèses
Le remplacement par endoprothèse est une méthode chirurgicale courante et efficace pour traiter la gonarthrose sévère, vous permettant de maintenir la mobilité des membres et la capacité de mener ensuite une vie bien remplie. Il s’agit d’une opération high-tech qui dure environ une heure et demie. Dans la période postopératoire, une rééducation et un développement à long terme de l'articulation sont nécessaires. Après 25 à 30 ans, lorsque l'articulation artificielle s'use, elle doit être à nouveau remplacée.

Physiothérapie et thérapie par l'exercice
Les méthodes de physiothérapie et de thérapie par l'exercice pour le traitement de l'arthrose de l'articulation du genou sont inefficaces.
Thérapie diététique
Suivre un régime n’est nécessaire que pour maintenir un poids normal ; Il n'y a aucune restriction sur la consommation de certains aliments pour la gonarthrose.
Un bloc aide-t-il en cas de gonarthrose ?
Pour l'arthrose de l'articulation du genou, un bloc para-articulaire est utilisé - une injection du médicament dans les tissus mous autour de l'articulation. Au cours de la procédure, la zone d'inflammation et les points douloureux près de l'articulation sont déterminés, la peau est traitée avec de l'alcool et de l'hydrocortisone avec un anesthésique est injectée dans cette zone.
Exercices thérapeutiques pour l'arthrose
Les exercices thérapeutiques sont utiles aussi bien pour les patients atteints de gonarthrose que pour la prévention de cette maladie. Exercices efficaces :
- flexion et extension complètes de la jambe, allongée sur le dos ;
- Levez une jambe droite en étant allongé sur le dos.
Prévision. Prévention
Il faut comprendre que si l’arthrose débute, elle doit être traitée immédiatement. Si vous êtes à risque de contracter cette maladie, vous pouvez en retarder l’apparition. Ce qui suit est recommandé :
- réduire la charge sur l'articulation du genou;
- nager – l’eau soulage le stress ;
- massez vous-même les muscles du bas de la jambe et de la cuisse ;
- éviter l'hypothermie et le surmenage ;
- maintenir un poids normal ;
- arrêter de fumer et de boire de l'alcool;
- Les femmes portent des chaussures confortables à talons bas ;
- Faire de la physiothérapie
Avant de commencer des exercices thérapeutiques, vous devez absolument consulter votre médecin. Les exercices sont effectués à un rythme lent. Si une douleur ou un inconfort survient pendant la gymnastique, les exercices doivent être arrêtés.
Seuls des médicaments efficaces peuvent être utilisés. Les frottements, les compresses et autres méthodes traditionnelles sont inefficaces ; Ils n'affectent pas la cause de la maladie, mais aident seulement à détourner l'attention de la douleur. Évitez les blessures et la surutilisation – sauter, porter des objets lourds, rester debout pendant de longues périodes ou s'asseoir dans une position inconfortable. Cela accélère la progression de la maladie.
Il est également nécessaire de diagnostiquer et de traiter en temps opportun la polyarthrite rhumatoïde, la goutte et les maladies systémiques.
Quels facteurs influencent le pronostic à long terme de l’arthrose du genou ?
Le pronostic dépend du stade de la visite chez le médecin et du traitement approprié. Plus tôt vous commencerez un traitement approprié, plus vous aurez de chances d’éviter une intervention chirurgicale.





















